Для вашего удобства разбор урока выложен в двух форматах: презентацией и текстом на странице ниже.
Разбор урока в формате презентации Microsoft PowerPoint
Вопрос 1
Монохориальная двойня. Какой ВПС у обоих плодов?
1 плод
2 плод
Ответ на вопрос 1
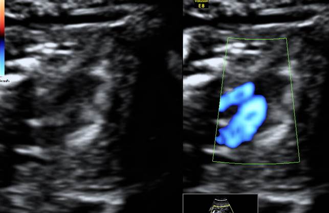
- У обоих плодов из МХ двойни есть один из самых частых и маркерных для трисомии 21 ВПС — атриовентрикулярный канал АВК
- Причем заметьте, в этом случае он прекрасно виден как в апикальной (у 2 плода), так и в базальной (у 1 плода) позиции сердца
- Была проведена аспирация ворсин хориона, диагноз — трисомия 21
Вопрос 2
Какие изменения видим? Какой диагноз?
Ответ на вопрос 2
- Диспропорция камер сердца, наполняется только правый желудочек, в левом есть ток крови не через митральный клапан, а через ДМЖП, отсутствуют сокращения левого желудочка (по М-методу), фиброэластоз межжелудочковой перегородки, гидроперикард
- Атрезия митрального клапана, которая является составляющей СГЛОС — синдрома гипоплазии левых отделов сердца, вторичный фиброэластоз
Вопрос 3
Какие изменения видим? Какой диагноз?
Ответ на вопрос 3
- Это сложный сочетанный ВПС
- Очевидны изменения и в 4 камерном скане (нет фиброзного «креста»), АВ клапаны на одном уровне, ДМЖП больших размеров — явные признаки АВК
- Оба магистральных сосуда параллельно выходят из правого желудочка, при чем аорта расположена правее — мальпозиция сосудов
- Диагноз: АВК, ДОС от ПЖ
Вопрос 4
Какие изменения с сердцем видим?
Ответ на вопрос 4
- В 4 камерном скане виден большой ДМЖП, аорта декстрапозирована, имеет бивентрикулярное отхождение, диаметр ее значимо больше диаметра легочной артерии, легочная артерия выходит из правого желудочка, ток крови в ней антеградный, изменен и V скан — очевидна буква У
- Все эти признаки типичны для тетрады Фалло 1 типа
Вопрос 5
Что видим? Сформулируйте диагноз, исходя из всех изменений
Ответ на вопрос 5
- Очевидны ДМЖП больших размеров, ток крови через митральный и трикуспидальный клапан нормальный, но! Правый желудочек с модераторным пучком находится слева, а левый желудочек — справа. Это инверсия желудочков сердца
- В нисходящей аорте и подвздошных сосудах- двунаправленный ток крови — признак крайнего неблагополучия для жизни плода
Вопрос 6
Диагноз?
Ответ на вопрос 6
- Параллельный ход магистральных сосудов, аорта отходит от правого желудочка, а легочная артерия из левого
- Транспозиция магистральных сосудов — ТМС
Вопрос 7
Какой диагноз?
Ответ на вопрос 7
- В 4 камерном скане виден ДЖМП, аорта идет направо, легочной проток левы, формирование вместо V скана — U
- Сосудистое кольцо вокруг трахеи и пищевода
- Правая дуга аорты с ДМЖП

- Я надеюсь вы справились со всеми задачами успешно и теперь осмотр сердца не будет у вас вызывать трепет
- Не забывайте читать материалы, которые размещены у вас дополнительно к каждому уроку
- Возникшие вопросы и пожелания мы можем обсудить в чате
- Успехов вам, здоровья и до новых встреч!


















