Для вашего удобства разбор урока выложен в двух форматах: презентацией и текстом на странице ниже.
Урок в формате презентации Microsoft PowerPoint
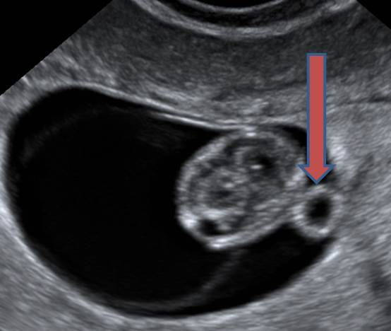
Вопрос 1
10 недель. Какая структура отмечена стрелкой?
Вопрос 2
Какие особенности видим? Тактика?
Вопрос 3
Какой диагноз?

Вопрос 4
Какой диагноз?
Вопрос 5
Диагноз?
Вопрос 6
Диагноз?
Вопрос 7
Монохориальная моноамниальная двойня. У одного плода- мегацистис. Какая патология парафетальных органов перед нами?

- Удачи вам и успехов в решении клинических задач
- Помните — внимание, знание, опыт, интуиция- вот самые главные помощники в правильном диагностическом пути!
- Не забывайте читать материалы, которые размещены у вас дополнительно к каждому уроку
- Помните — внимание, знание, опыт, интуиция- вот самые главные помощники в правильном диагностическом пути


















