Правильный ответ выделен красным. Если вы отправили себе на e-mail результаты, вы можете посмотреть свои и правильные ответы, перейдя по вашей уникальной ссылке и выбрав «Показать мои ответы». Если вы не сохранили свои результаты, напишите на ultrasoundplod@mail.ru, мы пришлем вам ссылку (пишите с e-mail, указанного при регистрации на курс).
Разбор теста в формате презентации Microsoft PowerPoint
Вопрос 1
Поставьте диагноз
- А — норма;
- Б — гастрошизис;
- В — омфалоцеле;
- Г — экстрофия мочевого пузыря
Вопрос 2
Укажите нормативы для шейной складки во 2 триместре беременности
- А — до 6 мм;
- Б — до 5 мм;
- В — до 2,5 мм
- Г — до 3 мм
Комментарий к ответу 1
Отчетливо определяется образование, исходящее из передней брюшной стенки, округлой формы с четким округлым контуром, мочевой пузырь виден в типичном месте, что позволяет исключить его экстрофию. Для гастрошизиса характерны неровные контуры образования. Содержимое образования имеет разную эхогенность: петли кишечника более высокой эхогенности, гипоэхогенная часть печени и анэхогенный желчный пузырь
Вопрос 3
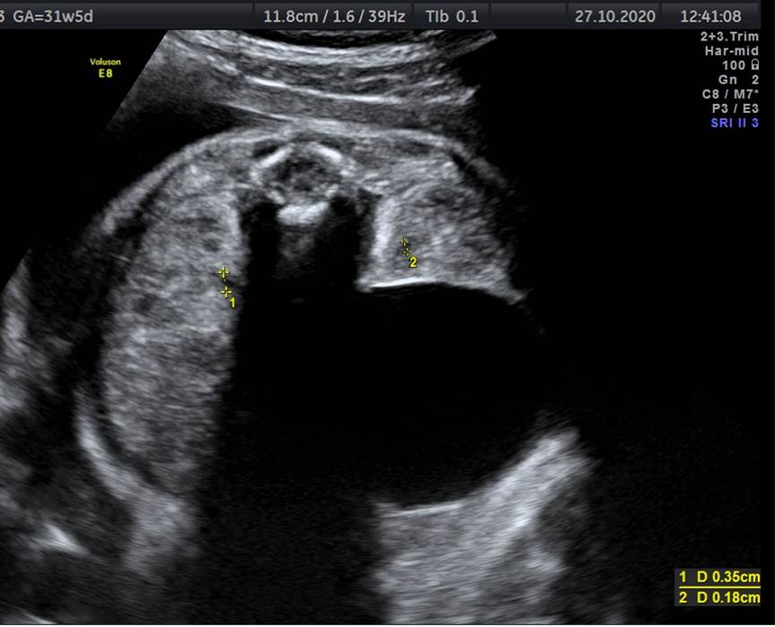
Укажите норматив передне-заднего размера почечных лоханок во 2 триместре беременности
- А — до 4 мм;
- Б — до 5 мм;
- В — до 2,5 мм
- Г — до 3 мм
Вопрос 4
Поставьте диагноз (на порок сердца не обращаем внимания)
- А — норма;
- Б — кистозно-аденоматозный порок левого легкого, 3 тип;
- В — диафрагмальная грыжа;
- Г — секвестрация легкого
Комментарий к ответу 4
Для секвестрации легкого и кистозно-аденоматозного порока легкого характерна повышенная эхогенность. Данное образование, занимающее левую сторону грудной клетки, имеет пониженную эхогенность и представляет собой долю печени. Это достаточно редкий тип левосторонней диафрагмальной грыжи, обычно печень попадает в грудную клетку при правостороннем типе ВДГ
Вопрос 5
Поставьте диагноз
- А — норма;
- Б — неполное удвоение почки и гидроуретер;
- В – киста яичника;
- Г — киста надпочечника и гидроуретер
Комментарий к ответу 5
Отчетливо видны две анэхогенные вытянутые структуры, направляющиеся от почки к мочевому пузырю. Единственный вариант, который полностью подходит под данную ситуацию – неполное удвоение почки, при этом мочеточник как правило тоже удваивается
Вопрос 6
Для какой хромосомной патологии более характерны кисты сосудистых сплетений?
- А — Трисомия 21;
- Б — Трисомия 18;
- В — Трисомия 13
- Г — Все вышеперечисленное
Вопрос 7
Оцените профиль плода в 20 недель
Вопрос 8
Укажите нормативы для диаметра мочеточника во 2 триместре беременности
- А — до 5 мм;
- Б — до 1 мм
- В — мочеточник начинает визуализироваться только в 3 триместре
- Г — нормальный мочеточник не визуализируется;
Вопрос 9
Оцените половые органы плода в 20 недель и сделайте заключение
- А — нормальный женский пол;
- Б – нормальный мужской пол;
- В – гипоспадия;
- Г — крипторхизм
Комментарий к ответу 9
- Яички опускаются в мошонку только к 30 неделям, поэтому говорить про крипторхизм здесь нельзя
- Определяется короткий пенис, акт мочеиспускания начинается не от головки, а ближе к основанию пениса, что говорит о гипоспадии
Вопрос 10
Оцените картину и укажите наиболее вероятный диагноз у плода женского пола в 31 неделю
- А — нормальный мочевой пузырь;
- Б – кишечная непроходимость;
- В – киста яичника;
- Г — киста селезенки
Комментарий к ответу 10
- Мочевой пузырь должен располагаться центрально, а здесь образование смещено латерально
- Для кишечной непроходимости характерно наличие нескольких анэхогенных образований, а здесь одно
- Для кисты селезенки характерно расположение в верхней трети брюшной полости и латеральнее желудка, а здесь образование располагается кпереди и ниже почки. Данная локализация, срок беременности и пол плода соответствуют кисте яичника
Вопрос 11
Для какой хромосомной патологии более характерна полидактилия?
- А — Трисомия 21;
- Б — Трисомия 18
- В — Трисомия 13
- Г — Все вышеперечисленное;
Вопрос 12
Оцените картину плода в 34 недели и укажите наиболее вероятный диагноз
- А — кистозно-аденоматозный порок легкого 3 типа;
- Б — диафрагмальная грыжа;
- В — норма;
- Г — киста тимуса
Комментарий к ответу 12
- Для диафрагмальной грыжи характерно умеренная или пониженная эхогенность, киста тимуса должна иметь центральную локализацию кпереди от сердца, а здесь образование располагается латерально и имеет повышенную эхогенность, что характерно для кистозно-аденоматозного порока легкого
- Для мультикистоза почки и кисты яичника характерно наличие анэхогенных образований округлой формы, а здесь четко прослеживается тубулярная форма образования, что характерно для расширения петель кишечника, что не является нормой в 21 неделю беременности
Вопрос 13
Оцените картину плода женского пола в 21 неделю и укажите диагноз
- А — норма;
- Б — мультикистоз левой почки;
- ГВ — расширение петли кишечника;
- Г — киста левого яичника
Вопрос 14
Для какой хромосомной патологии более характерна расщелина губы и неба?
- А — Трисомия 21;
- Б — Трисомия 18
- В — Трисомия 13
- Г — Все вышеперечисленное;
Вопрос 15
Оцените картину у плода мужского пола в 21 неделю и укажите диагноз
- А — норма;
- Б – поликистоз почек;
- В – пиелоэктазия;
- Г — мультикистоз почек
Комментарий к ответу 15
Для поликистоза характерно увеличение эхогенности паренхимы почек, для мультикистоза – наличие множества анэхогенных кист разного диаметра в паренхиме почек. Здесь эхогенность паренхимы не изменена, но имеет место расширение лоханок обеих почек. Так же можно увидеть мочевой пузырь значительных размеров, но на этом же клипе мы видим, что околоплодные воды сохранены, что не позволяет говорить о наличии заднего уретрального клапана




