Для вашего удобства урок выложен в двух форматах: презентацией и текстом на странице ниже.
Урок в формате презентации Microsoft PowerPoint
Вопрос 1
- Проанализируйте изображения плода в 20 недель, есть ли у него какие-либо маркеры хромосомной патологии?
- Необходимо ли рекомендовать инвазивную диагностику? Пациентке 26 лет, в 1 триместре комбинированный риск по трисомии 21 — 1:1500
Вопрос 2
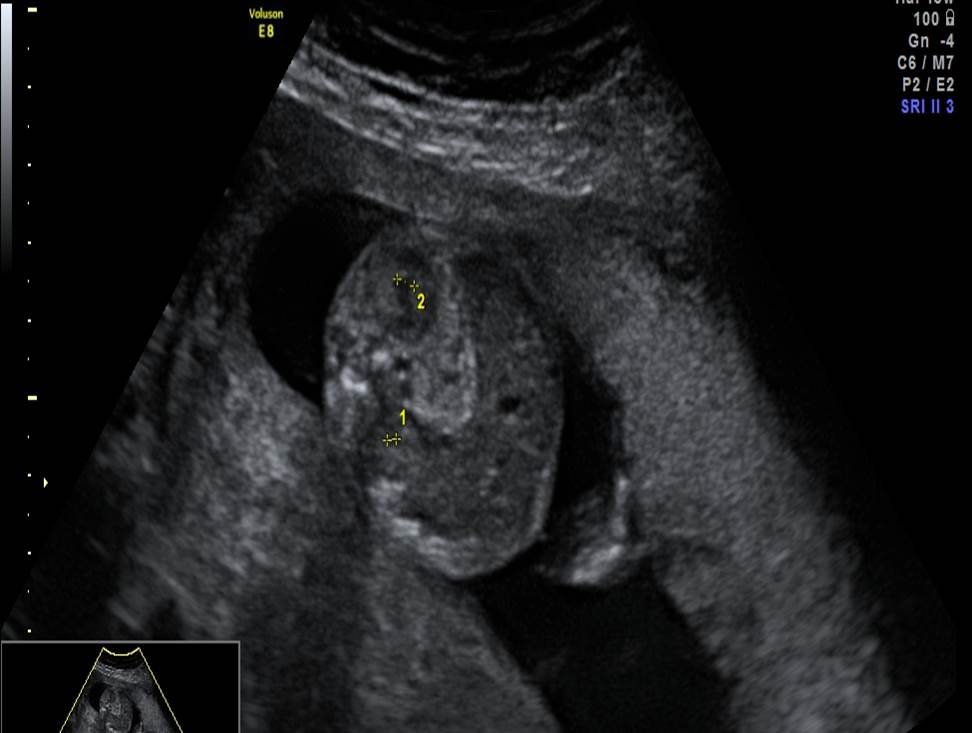
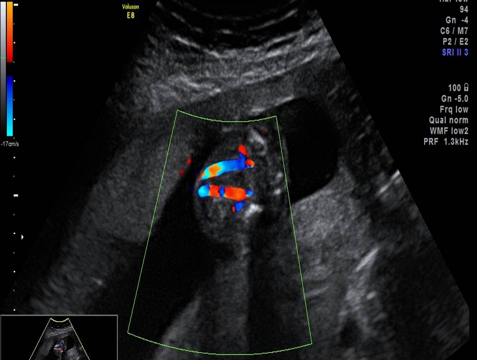
- Проанализируйте изображения плода в 22 недели, есть ли у него какие-либо маркеры хромосомной патологии?
- Необходимо ли рекомендовать инвазивную диагностику? Пациентке 30 лет, в 1 триместре комбинированный риск по трисомии 21 — 1:1200
Вопрос 3
- Проанализируйте изображения плода в 19 недель, есть ли у него какие-либо маркеры хромосомной патологии?
- Необходимо ли рекомендовать инвазивную диагностику? Пациентке 28 лет, в 1 триместре комбинированный риск по трисомии 21 — 1:1220
Данные 1 скрининга
Вопрос 4
- Проанализируйте изображения плода в 20 недель, есть ли у него какие-либо маркеры хромосомной патологии?
- Необходимо ли рекомендовать инвазивную диагностику? Пациентке 25 лет, в 1 триместре не обследовалась
Вопрос 5
- Проанализируйте изображения плода в 19 недель, есть ли у него какие-либо маркеры хромосомной патологии?
- Необходимо ли рекомендовать инвазивную диагностику? Пациентке 28 лет, УЗ скрининг 1 триместра выполнен при КТР 46 мм, БХ скрининг не выполнен, риск ХА не рассчитан

Ответы эти на вопросы будут доступны для разбора уже в ближайшее воскресенье












































































































































