Для вашего удобства урок выложен в двух форматах: презентацией и текстом на странице ниже.
Урок в формате презентации Microsoft PowerPoint
Вопрос 1
Проанализируйте изображения плода в 27 недель, установите диагноз и дальнейшую тактику ведения беременности
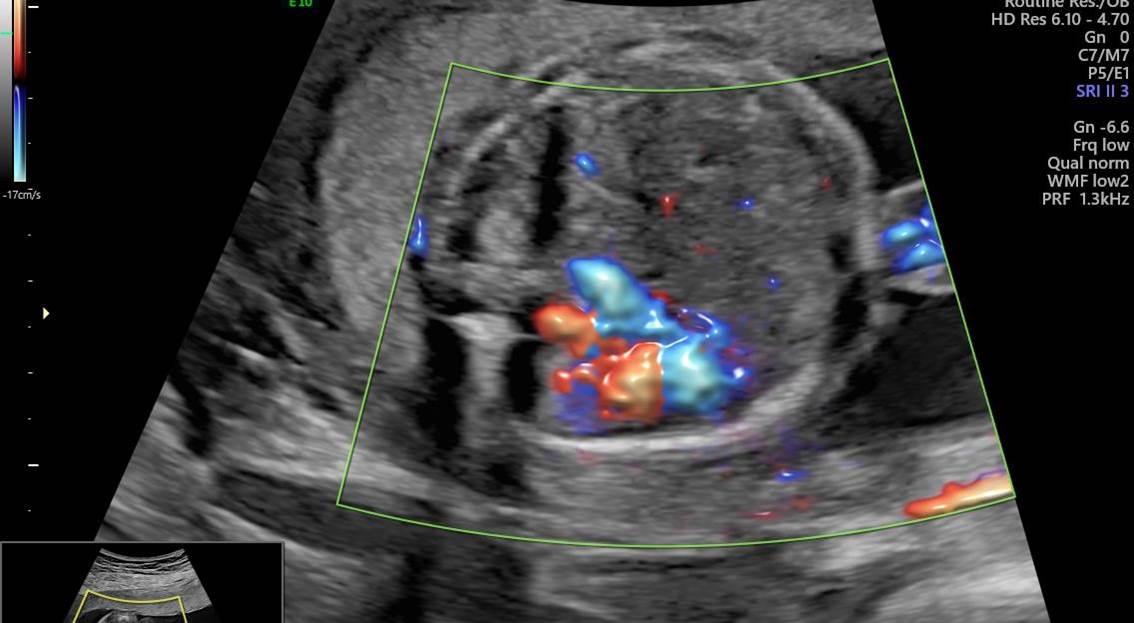
Вопрос 2
Проанализируйте изображения и видеоклипы грудной клетки плода в 31 неделю, установите диагноз и дальнейшую тактику ведения беременности
Вопрос 3
Оцените видеоклип брюшной полости плода в 23 недели беременности, установите диагноз и дальнейшую тактику ведения беременности
Вопрос 4
Проанализируйте изображения и видеоклипы грудной клетки плода в 20 недель и установите диагноз
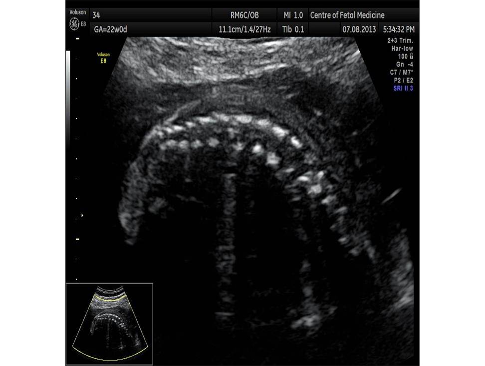
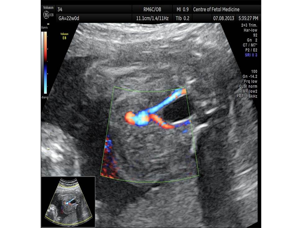
Вопрос 5
Проанализируйте изображения плода в 22 недели и установите диагноз

Ответы эти на вопросы будут доступны для разбора уже в ближайшую субботу































































