Разбор заключительного тестирования. Курс «УЛЬТРАЗВУКОВАЯ ДИАГНОСТИКА ПОРОКОВ СЕРДЦА ПЛОДА. ПЕРВАЯ ЧАСТЬ»

Правильный ответ выделен красным. Если вы отправили себе на e-mail результаты, вы можете посмотреть свои и правильные ответы, перейдя по вашей уникальной ссылке и выбрав «Показать мои ответы». Если вы не сохранили свои результаты, напишите на ultrasoundplod@mail.ru, мы пришлем вам ссылку (пишите с e-mail, указанного при регистрации на курс).

Для вашего удобства разбор теста выложен в двух форматах: презентацией и текстом на странице ниже. Если на видео нет значка «во весь экран», используйте другой браузер для просмотра страницы

Разбор теста в формате презентации Microsoft PowerPoint


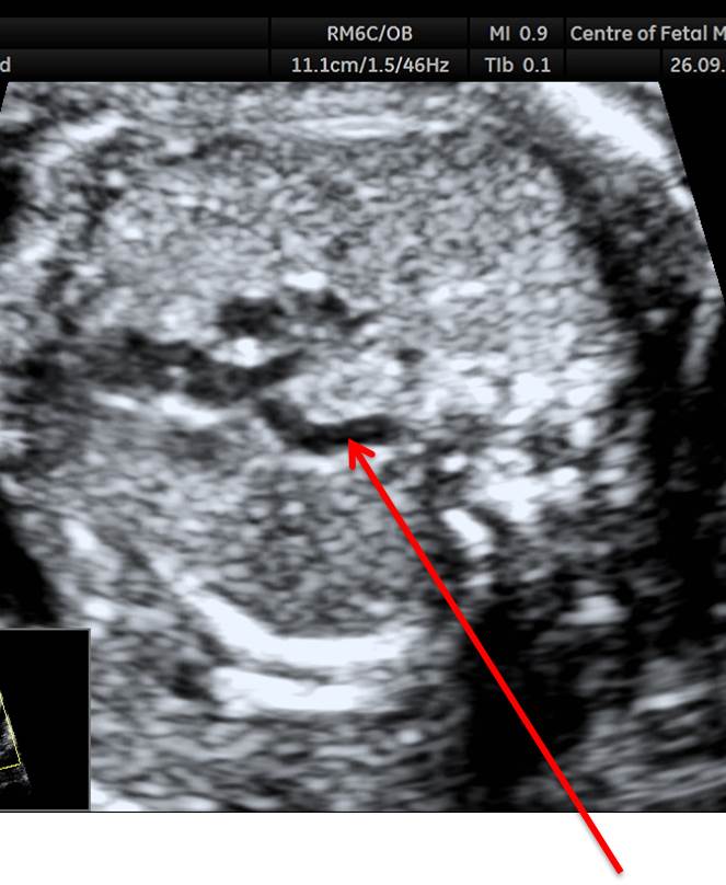
Вопрос 1

На какую структуру указывает стрелка?

  • А — аорта;​
  • Б — легочный ствол;​
  • В — нижняя полая вена;
  • Г — вена пуповины (интраабдоминальный отдел)

Ответ на вопрос 1

На какую структуру указывает стрелка?

  • А — аорта;
  • Б — легочный ствол;​
  • В — нижняя полая вена;
  • Г — вена пуповины (интраабдоминальный отдел)

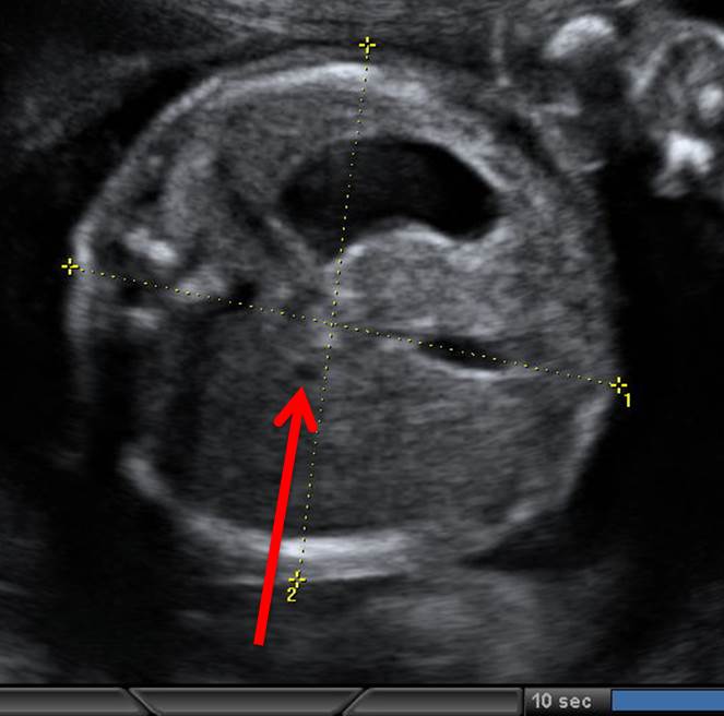
Вопрос 2

1-2.jpg

На какую структуру указывает стрелка?

  • А — правое предсердие;​
  • Б — левое предсердие;​
  • В — правый желудочек;
  • Г — левый желудочек

Ответ на вопрос 2

1-2.jpg

На какую структуру указывает стрелка?

  • А — правое предсердие;​
  • Б — левое предсердие;​
  • В — правый желудочек;
  • Г — левый желудочек

Вопрос 3

Какая оптимальная скорость цветовового Допплера для оценки легочных вен?

  • А — 15-20 см/сек​
  • Б — 30-40 см/сек​
  • В — более 40 см/сек

Ответ на вопрос 3

Какая оптимальная скорость цветовового Допплера для оценки легочных вен?

  • А — 15-20 см/сек​
  • Б — 30-40 см/сек​
  • В — более 40 см/сек

Вопрос 4

Какая оптимальная скорость цветовового Допплера для оценки магистральных сосудов сердца?

  • А — 15-20 см/сек​
  • Б — 20-30 см/сек
  • В — 35-45 см/сек​

Ответ на вопрос 4

  • А — 15-20 см/сек​
  • Б — 20-30 см/сек
  • В — 35-45 см/сек​

Вопрос 5

1-5.jpg

Опишите, что вы видите

  • А — нормальное сердце;​
  • Б — ДМЖП;​
  • В — АВ канал;
  • Г — гиперэхогенный фокус в правом желудочке

Ответ на вопрос 5

1-5.jpg

Опишите, что вы видите

  • А — нормальное сердце;​
  • Б — ДМЖП;​
  • В — АВ канал;
  • Г — гиперэхогенный фокус в правом желудочке

Вопрос 6

1-5.jpg

Какая структура указана стрелкой?

  • А — правая легочная артерия;​
  • Б — левая легочная артерия;​
  • В — правая легочная вена;
  • Г — левая легочная вена

Ответ на вопрос 6

1-5.jpg

Какая структура указана стрелкой?

  • А — правая легочная артерия;​
  • Б — левая легочная артерия;​
  • В — правая легочная вена;
  • Г — левая легочная вена

Вопрос 7

1-7.jpg

Какая структура указана стрелкой?

  • А — аорта;​
  • Б — верхняя полая вена;​
  • В — нижняя полая вена;
  • Г — пищевод;

Ответ на вопрос 7

1-7.jpg

Какая структура указана стрелкой?

  • А — аорта;​
  • Б — верхняя полая вена;​
  • В — нижняя полая вена;
  • Г — пищевод;

Вопрос 8

1-8.jpg

Какая структура указана стрелкой?

  • А — аорта;​
  • Б — легочный ствол;​
  • В — правая легочная артерия;
  • Г — левая легочная артерия;
  • Д — боталов проток;

Ответ на вопрос 8

1-8.jpg

Какая структура указана стрелкой?

  • А — аорта;​
  • Б — легочный ствол;​
  • В — правая легочная артерия;
  • Г — левая легочная артерия;
  • Д — боталов проток;

Вопрос 9

1-9.jpg

Какая структура указана стрелкой?

  • А — норма;​
  • Б — ДМЖП;​
  • В — атрезия митрального клапана;
  • Г — АВ-канал

Ответ на вопрос 9

1-9.jpg

Какая структура указана стрелкой?

  • А — норма;​
  • Б — ДМЖП;​
  • В — атрезия митрального клапана;
  • Г — АВ-канал

Вопрос 10

1-10.jpg

Поставьте диагноз

  • А — норма;​
  • Б — транспозиция магистральных сосудов;
  • В — тетрада Фалло;
  • Г — общий артериальный ствол

Ответ на вопрос 10

1-10.jpg

Поставьте диагноз

  • А — норма;​
  • Б — транспозиция магистральных сосудов;​
  • В — тетрада Фалло;
  • Г — общий артериальный ствол

Вопрос 11

Поставьте диагноз

  • А — норма;​
  • Б — АВ-канал ;​
  • В — транспозиция магистральных сосудов;
  • Г — гипоплазия левого желудочка

Ответ на вопрос 11

Поставьте диагноз

  • А — норма;​
  • Б — АВ-канал ;​
  • В — транспозиция магистральных сосудов;
  • Г — гипоплазия левого желудочка

Вопрос 12

Поставьте диагноз

  • А — норма;​
  • Б — АВ-канал ;​
  • В — коарктация аорты;
  • Г — гипоплазия левого желудочка

Ответ на вопрос 12

Поставьте диагноз

  • А — норма;​
  • Б — АВ-канал ;​
  • В — коарктация аорты;
  • Г — гипоплазия левого желудочка

  • На 4камерном срезе сердца мы видим диспропорцию правого и левого желудочка с относительным уменьшением левого желудочка. Кровоток через митральный клапан сохранен, что позволяет исключить атрезию митрального клапана и гипоплазию левого желудочка
  • В срезе через дугу аорты и дугу артериального протока мы видим, что перешеек аорты значительно меньших размеров по сравнению с артериальным протоком, что позволяет установить коарктацию аорты

Вопрос 13

Поставьте диагноз

  • А — норма;​
  • Б — диафрагмальная грыжа ;​
  • В — транспозиция магистральных сосудов;
  • Г — тетрада Фалло

Ответ на вопрос 13

Поставьте диагноз

  • А — норма;​
  • Б — диафрагмальная грыжа ;​
  • В — транспозиция магистральных сосудов;
  • Г — тетрада Фалло

Вопрос 14

1-14.jpg

Поставьте диагноз

  • А — норма;​
  • Б — диафрагмальная грыжа;​
  • В — гипоплазия ЛЖ;
  • Г — АВ-канал

Ответ на вопрос 14

1-14.jpg

Поставьте диагноз

  • А — норма;​
  • Б — диафрагмальная грыжа;​
  • В — гипоплазия ЛЖ;
  • Г — АВ-канал

Вопрос 15

1-15.jpg

Поставьте диагноз

  • А — норма;​
  • Б — диафрагмальная грыжа;​
  • В — гипоплазия ЛЖ;
  • Г — общий артериальный ствол

Ответ на вопрос 15

1-15.jpg

Поставьте диагноз

  • А — норма;​
  • Б — диафрагмальная грыжа;​
  • В — гипоплазия ЛЖ;
  • Г — общий артериальный ствол