Для вашего удобства разбор урока выложен в двух форматах: презентацией и текстом на странице ниже.
Урок в формате презентации Microsoft PowerPoint
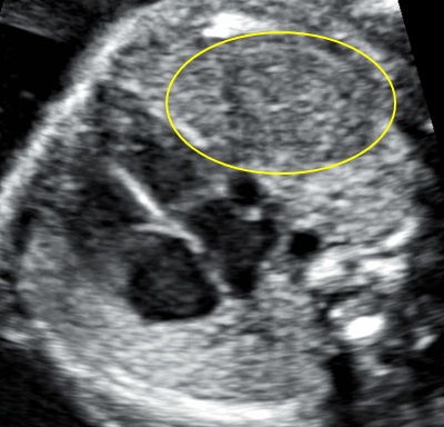
Вопрос 1
Проанализируйте изображения сердца и установите диагноз
32 недели
Ответ на вопрос 1
- У плода множественная рабдомиома.
- Комментарий: мы видим нормальное соотношение камер сердца, магистральные сосуды выходят правильно, гемодинамика не изменена.
- Яркая округлая структура в полости левого желудочка может быть ошибочно расценена как гиперэхогенный фокус. Однако, при сроке 32 недели такие крупные гиперэхогенные фокусы не встречаются.
- В полости правого желудочка рядом с модераторным пучком определяется еще одна рабдомиома
- Прогноз при данном пороке благоприятный, т.к. расположение рабдомиом не нарушает нормальную гемодинамику, однако требуется консультация генетика, тщательное ультразвуковое исследование мозга, МРТ мозга для исключения туберозного склероза.
Вопрос 2
Проанализируйте изображения и клипы сердца и установите диагноз
Ответ на вопрос 2
- У плода дефект межжелудочковой перегородки (перимембранозный) и персистирующая левая верхняя полая вена. В срезе через три сосуда мы видим дополнительный сосуд левее легочного ствола, по размерам и расположению симметричный правой верхней полой вене. В 4камерном срезе обращает на себя внимание расширенный коронарный синус


Комментарий
- Перимембранозный ДМЖП и диафрагмальная грыжа относятся к порокам развития, ассоциифрованным с хромосомной патологией.
- У данного плода был выявлен синдром Эдвардса.
Вопрос 3
Проанализируйте изображения и клипы сердца и установите диагноз
Ответ на вопрос 3
- У плода дисплазия трикуспидального клапана, гемодинамически не значимая.
- Магистральные сосуды выходят правильно, гемодинамика сердца не нарушена. В клипе обращает на себя внимание, что экскурсия листков трикуспидального клапана затрагивает области ближе к верхушке правого желудочка. При этом листки трикуспидального клапана прикреплены к межжелудочковой перегородке на должном уровне, регургитации через трикуспидальный клапан нет. Правое предсердие нормальных размеров, что является еще одним критерием для исключения аномалии Эбштейна.
Комментарий
- Дисплазия трикуспидального клапана может становиться гемодинамически значимой по мере роста сердца и увеличения сердечной нагрузки.
- У данного плода в 32 недели появилась трикуспидальная регургитация в связи с неполным смыканием листков дисплазированного трикуспидального клапана.
Вопрос 4
Проанализируйте изображения и клипы сердца и установите диагноз
Ответ на вопрос 4
- У плода общий артериальный ствол, ДМЖП.
- Невозможно получить отдельные сечения правого и левого выходного отдела.
- В клипах видно, что единственный центрально расположенный магистральный сосуд выходит из середины сердца, имеет один клапан и дренирует оба желудочка.
- Вскоре после клапана мы видим отхождение от общего ствола аорты и ветви легочной артерии.
Вопрос 5
Проанализируйте изображения сердца и установите диагноз
Ответ на вопрос 5

- У плода правая дуга аорты. На 4камерном срезе сердца никаких изменений нет. В срезе через три сосуда мы видим, что расстояние между аортой и легочным стволом больше, чем между аортой и верхней полой веной. V-соединение отсутствует, магистральные сосуды соединяются U-соединением. Между ними располагается трахея.
- Срез дуги аорты нормальный.
Вопрос 6
Проанализируйте изображения и клипы сердца и установите диагноз
Ответ на вопрос 6


- У плода есть декстрапозиция аорты и субаортальный ДМЖП. Это хорошо видно в клипе и на срезах левого выходного отдела: клапан аорты располагается над перегородкой, кровь в аорту поступает из правого и левого желудочка за счет субаортального ДМЖП
Комментарий
- Для дифференциальной диагностики с тетрадой Фалло в этой ситуации мы обращаемся к срезу через три сосуда, в котором мы видим нормальное соотношение диаметров легочного ствола и аорты. Это позволяет исключить тетраду Фалло.
Вопрос 7
Проанализируйте изображения сердца и установите диагноз
Ответ на вопрос 7
- У плода стеноз легочного ствола. На 4камерном срезе сердца обращает на себя внимание утолщение миокарда правого желудочка. В срезе через правый выходной отдел видно сужение легочного ствола на уровне клапана и постстенотическое расширение. В режиме ЦДК определяется антеградный турбулентный кровоток в легочном стволе.
Вопрос 8
Проанализируйте изображения и клипы сердца и установите диагноз
Ответ на вопрос 8
- У плода общий артериальный ствол.
- Невозможно получить отдельные сечения правого и левого выходного отдела. В клипе видно, что единственный центрально расположенный магистральный сосуд выходит из середины сердца и дренирует оба желудочка.

Следующая лекция по ультразвуковой диагностике пороков сердца плода доступна для просмотра уже завтра.
Оставайтесь с нами!















































