Для вашего удобства разбор урока выложен в двух форматах: презентацией и текстом на странице ниже.
Разбор урока в формате презентации Microsoft PowerPoint
Вопрос 1
19 недель. Диагноз? Какое генетическое обследование порекомендуем?
Ответ на вопрос 1
- Черепно-мозговая грыжа, 2-х сторонний поликистоз почек, полидактилия на кистях и стопах, незначительный гидроперикард.
- Синдром Меккеля-Грубера.
- Рекомендовано секвенирование экзома.
Вопрос 2
Какие изменения видим? Какое обследование порекомендуем?
Ответ на вопрос 2
- Гипоплазия полушарий мозжечка, вентрикуломегалия, киста кармана Блэйка
- Микрофтальмия
- Двустронние пиелоэктазии
- Рекомендовано ХММА
- Выявлено микроделеция 5Р (синдром кошачьего крика)
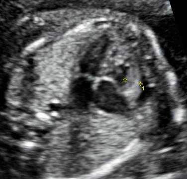
Вопрос 3
Попробуйте перечислить все изменения, который вы видите. 21 неделя. Что порекомендуем?
Ответ на вопрос 3
- Микрогнатия, аномалия Денди-Уокера стеноз клапана легочной артерии с гипертрофией миокарда правого желудочка.
- В данном случае по кариотипу мы получили трисомию 18, то есть синдром Эдвардса.
Вопрос 4
22 недели. Какие изменения видим? Какое обследование порекомендуем?
Ответ на вопрос 4
- Аномальная форма головки, лиссэнцефалия, возможно формирование краниосиностоза.
- Микрогнатия, гипертелоризм.
- Полидактилия.
- Брюшная лимфангиома.
- Рекомендуем ХММА.
- В данном случае выявлена клинически значимая делеция Х хромосомы.
Вопрос 5
21 неделя. Что видим? Дифференциальный ряд?
Ответ на вопрос 5
- Агенезия мозолистого тела.
- Лицевые дизморфии (высокий фильтр, гипертелоризм, раздвоенный кончик носа).
- Увеличение метопического шва.
- Глоссоптоз, признаки расщелины неба.
- Клинически — ФНД, фронто-назальная дисплазия, АД-тип наследования.
- Рекомендуем секвенирование, обследуем родителей.
Вопрос 6
Попробуйте перечислить изменения. Срок 22 недели.
Ответ на вопрос 6
- Агенезия мозолистого тела, гипоплазия червя мозжечка, нарушение сулькации.
- Расщелина лица.
- Проведено секвенирование.
- Выявлен рото-лице-пальцевой синдром.
Рото-лице-пальцевой синдром OMIM 252100 Mohr (тип 2)
- АМТ, патология червя мозжечка, порэнцефалия, нарушение сулькации.
- Расщелина лица.
- Микрогнатия.
- Клинодактилия, полисиндактилия.
- Плохой ментальный прогноз.
Вопрос 7
Сформулируйте УЗ-находки.
Ответ на вопрос 7
- Множественные маркеры трисомии 18- аплазия НК, преназальный отек, КСС, ЕАП.
- Камподактилия.
- Достаточно обычного кариотипирования.
- В этом случае выявлена трисомия 18.

- Я надеюсь вам понравился наш урок клинического мышления
- Возникшие вопросы и пожелания мы можем обсудить в чатe
- Успехов вам, здоровья и до новых встреч!
- А встретимся мы с вами на экзамене!


С уважением к вам и к нашей работе,
Андреева Елена












































