Для вашего удобства разбор урока выложен в двух форматах: презентацией и текстом на странице ниже.
Разбор урока в формате презентации Microsoft PowerPoint
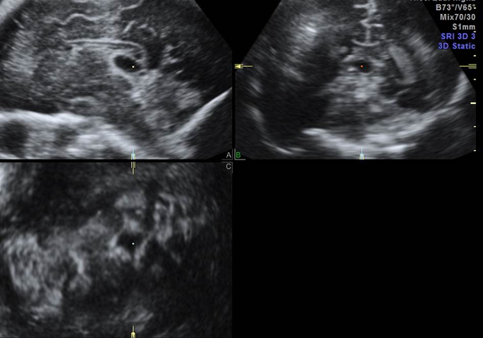
Вопрос 1
32 недели. Диагноз? Прогноз?

Ответ на вопрос 1
- Полость/киста промежуточного паруса.
- Эмбрионально нормальная полость.
- Прогноз благоприятный в изолированном виде.
Вопрос 2
- Диагноз? Дифференциальный ряд?
- Что нужно обязательно посмотреть?
Ответ на вопрос 2
Без ЦДК НЕВОЗМОЖНО поставить диагноз правильно.
- Аневризма вены Галена
Вопрос 3
23 недели гестации. Диагноз?
Ответ на вопрос 3
- Новообразование головного мозга.
Вопрос 4
Диагноз?
Ответ на вопрос 4
- Тромбоз стока венозного синуса.
Вопрос 5
- 22 недели. Какие изменения вы видите?
Ответ на вопрос 5
- Киста кармана Блэйка и расширенная полость промежуточного паруса.
Вопрос 6
Диагноз?
Ответ на вопрос 6
- Субэпендимальные кисты (псевдокисты), киста промежуточного паруса, перивентрикулярная инфильтрация.
Вопрос 7
- 30 недель. Диагноз?
Ответ на вопрос 7
- Многокамерная арахноидальная киста.
- Мальформация коры головного мозга. Полимикрогирия.

- Я надеюсь вам понравился наш урок клинического мышления
- Помните, что кистозные образования ГМ не так безобидны, как кажутся на первый взгляд
- Возникшие вопросы и пожелания мы можем обсудить в чатe
- Успехов вам, здоровья и до новых встреч!


С уважением к вам и к нашей работе,
Андреева Елена






















