Для вашего удобства разбор урока выложен в двух форматах: презентацией и текстом на странице ниже.
Разбор урока в формате презентации Microsoft PowerPoint
Вопрос 1
- Перед вами три случая разных диагнозов с вентрикуломегалией.
- Постарайтесь их поставить даже без дополнительных сканов.
Ответ на вопрос 1
При использовании стандартного аксиального скана можно с уверенностью сказать об основных диагнозах во всех 3-х случаях
Вопрос 2
Срок 22 недели.
Какая патология перед нами? Затылочный рог справа 13.2 мм
Ответ на вопрос 2
Вопрос 3
- Какую патологию подозреваем и почему?
- Каков прогноз, тактика?у?
Ответ на вопрос 3
- Это ВЖК 1 степени, ограниченное лишь областью герминогенного матрикса (ГМ).
- Обычно исходы хорошие, протекает бессимптомно.
- Назначаем динамическое наблюдение для исключения прогрессирования кровоизлияния и прицельно изучаем область ГМ, исключая субэпендимальные псевдокисты.
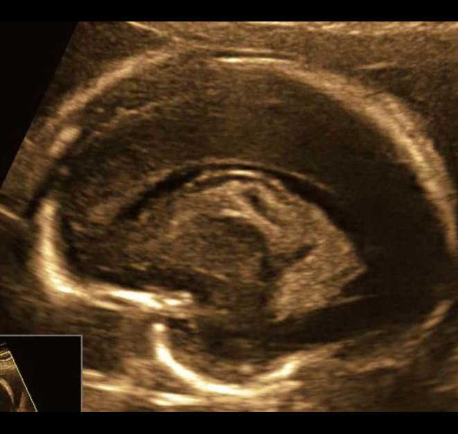
Вопрос 4
Срок 22 недели 5 дней. Вентрикуломегалия тяжелой степени. Пол плода — женский. В какой части головного мозга скрывается основной диагноз?
Трансцеребеллярный скан и 3Д режимы
Ответ на вопрос 4
- Поиск основного диагноза нужно вести в области задней черепной ямки (смотрим НАЗАД).
- Очевидно, что полушария мозжечка уменьшены в размерах (фокальная гипоплазия полушарий мозжечка), червь сформирован правильно (об этом подробно поговорим на второй лекции).
- При консультировании — обязательно предлагаем инвазивную диагностику с лабораторным исследованием молекулярного кариотипа (ХММА).
Вопрос 5
- 1 триместр беременности. КТР 61 мм.
Патологическая УЗ картина головного мозга. - Какой диагноз наиболее вероятен? (см. следующий слайд)
Ответ на вопрос 5
- Очевидна патологическая картина ГМ с отсутствием нормальной анатомии ГМ в 1 триместре.
- Но, разделение на полушария есть.
- Полушария симметричны.
- Структуры мозга асимметричны.
- Такая картина наиболее вероятна для ранних кровоизлияний ГМ с фатальными разрушениями полушарий в дальнейшем.
- Прогноз неблагоприятный.
Вопрос 6
- Идентичны ли диагнозы на сканах 1 и 2?
- Какие сканы нужно использовать для дифференциального диагноза?
- Какие мажорные признаки патологий ищем дополнительно?
- Каков прогноз?
Ответ на вопрос 6
- Чтобы ответить на этот вопрос нужны дополнительные сканы с оценкой М-эхо.
- Главные кандидатные диагнозы: голопрозэнцефалия и вентрикуломегалия тяжелой степени с «расплавлением» структур из-за (могут быть разные причины).
- Случай №1 — ромбэнцефалосинапсис.
- Случай №2 — голопрозэнцефалия (видим дополнительно краниосиностоз лобного шва, ВПР лица).
В обоих случаях прогноз неблагоприятный
Вопрос 7
- Какая патология представлена на снимках?
- Специфическими признаки чего могут быть эти проявления?
Ответ на вопрос 7
- Перивентрикулярные субэпендимальные псевдокисты (в области герминогенного маткикса).
- Перивентрикулярная инфильтрацияпо всему периметру.
- Перивентрикулярная кальцификация.
- За затылочным рогом справа — мелкое кистозное образование.
- Все эти признаки — специфические признаки ВУИ- цитомегаловирусной инфекции.

- Я надеюсь вам понравился наш первый урок клинического мышления.
- Не забывайте читать материалы, которые размещены у вас дополнительно к каждому уроку.
- Возникшие вопросы и пожелания мы можем обсудить в чатe
- Успехов вам, здоровья и до новых встреч!

С уважением к вам и к нашей работе,
Андреева Елена






































