Для вашего удобства урок выложен в двух форматах: презентацией и текстом на странице ниже.
Отвечать на странице курса и присылать ответы на почту не надо! Урок клинического мышления предполагает вашу самостоятельную работу.
Урок в формате презентации Microsoft PowerPoint
Вопрос 1
Проанализируйте данные УЗИ и установите диагноз и дальнейшую тактику, надо ли и когда назначить повторное УЗИ для оценки темпов роста?
Допплеровское исследование – нормальный PI в артерии пуповины, средней мозговой артерии, венозном протоке и маточных артериях
Из анамнеза
Вопрос 2
Проанализируйте данные УЗИ и установите диагноз и дальнейшую тактику, надо ли и когда назначить повторное УЗИ для оценки темпов роста?

Из анамнеза
- По результатам комбинированного скрининга в 1 триместре пациентка попала в группу риска по трисомии 21 (биохимические маркеры – РАРР-А 0,2 МоМ, ХГЧ 8 МоМ. Выполнена плацентобиопсия, кариотип плаценты 47, ХХ+2
- Учитывая нормальную анатомию плода, высокую летальность при кариотипе эмбриона с трисомией 2 (большинство беременностей замирают до 10 недель), было высказано предположение о наличии плацентарного мозаицизма. Для подтверждения был выполнен кордоцентез, кариотип плода нормальный (46,ХХ)
Вопрос 3
Проанализируйте данные УЗИ и установите диагноз и дальнейшую тактику, надо ли и когда назначить повторное УЗИ для оценки темпов роста?
Вопрос 4
Проанализируйте данные УЗИ и установите диагноз и дальнейшую тактику, надо ли и когда назначить повторное УЗИ для оценки темпов роста?
Вопрос 5
Предлагаю Вам побыть в роли эксперта ФМФ и оценить правильность получения изображения кровотока в маточных артериях для скрининга преэклампсии в 1 триместре. Для данного вопроса я взяла реальные случаи от разных докторов с сайта ФМФ.
Изображение 1
- Контрольный объем (должен быть равен 2 мм)
- Скорость (должна быть больше 60 см/сек)
- Угол инсонации (не более 30 градусов)
- Контрольный объем (должен быть равен 2 мм)
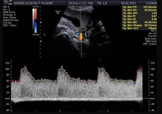
Изображение 2
- Контрольный объем (должен быть равен 2 мм)
- Скорость (должна быть больше 60 см/сек)
- Угол инсонации (не более 30 градусов)
- Контрольный объем (должен быть равен 2 мм)
Изображение 3
- Контрольный объем (должен быть равен 2 мм)
- Скорость (должна быть больше 60 см/сек)
- Угол инсонации (не более 30 градусов)
- Контрольный объем (должен быть равен 2 мм)

Ответы эти на вопросы будут доступны для разбора уже в ближайшую субботу

















